Polyclonal anti-SARS-CoV-2 Nucleoprotein - R&D samples available
To expand our offering of Covid-19 related reagents, we are developing polyclonal antibodies against the SARS-CoV-2 Nucleoprotein. They work as pair with our monoclonal antibodies.
See the DataSheet (Cat.# PSN5)
New anti-SARS-CoV-2 RBD clones - R&D samples available
Our new anti-RBD antibodies provide improved sensitivity as compared to the first anti-RBD clones we developed. Pair recommendations for lateral flow applications are also provided.
All pairs have been tested with clinical samples.

Figure A. Selected MAbs pairs recognize recombinant RBD
expressed in human cells

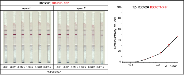
Figure B:
Selected MAbs pairs recognize
SARS-CoV-2 virus-like particles expressed in human cells
HyTest new monoclonal anti-Spike RBD antibodies can be used for the antigen detection in lateral flow assay with colloidal gold (GNP) labeling. Selected MAbs pairs recognize both recombinant RBD (A) and SARS-CoV-2 virus-like particles (VLP; B) expressed in human cells. The sensitivity to RBD is higher than 100 pg/ml. VLP is diluted from stock solution of 300 ng/ml (Spike content).
Learn more:
SARS-CoV-2 TechNotes
See all our COVID-19 Products